昨天有一則新聞,前立法院院長王金平肚子不舒服忍了三天,就醫才知病症是正在流膿汁即將破裂的闌尾炎。
新冠疫情影響人民就醫意願,肚子不舒服先找家裡的胃腸藥吃,造成診所就醫人次慘跌,有的甚至發不出薪水。區域醫院協會名譽理事長蘇清泉表示:疫情改變大眾就醫行,但並未達成分級醫療的理想,甚至令人擔心,疫情若持續,恐更不利分級醫療。過去一年,需要住院的輕症可能不就醫,或是會選地區醫院,等到變嚴重了,就直接去醫學中心就醫,夾在中間的區域醫院很尷尬,尤其是醫療資源豐富地區的區域醫院,因為角色定位比較不清楚,病人都快被醫學中心搶光了。
https://udn.com/news/story/7266/5144446 分享一個新冠疫情下的病例:
66歲女性,每年定期做健檢,今年預計四月中旬做健檢,四月初就開始感覺腸胃不適,但礙於新冠疫情,她想拖到健檢時再一併解決,沒想到健檢當天被退貨,醫師摸摸她的肚子,評估她必須先去看門診。
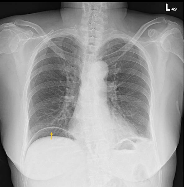
肚子不舒服要不要照CXR,要看病人當下怎麼痛,不管怎樣,當你感覺心裡毛毛的,順手點下去無妨。我常跟PGY說,病房裡年邁的病人若是跟你說肚子不舒服,一定要照KUB,並順手點下CXR,常會有意想不到的結果。
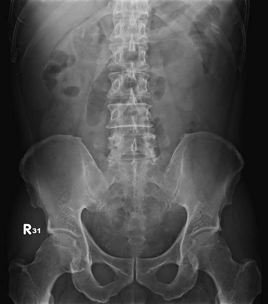
KUB看不出她的病有多嚴重:
WBC 13600/ul, Seg 93.4%
CRP 48.7 mg/dL
看到這些抽血數值,大家都會猜急性闌尾炎。
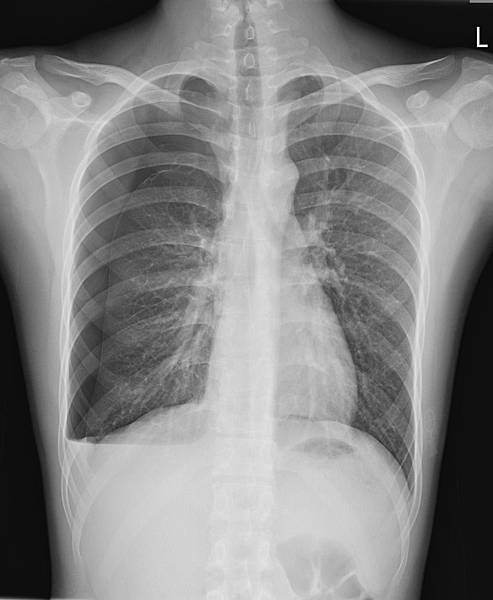
CXR才是診斷的經典:
右側橫膈下方有經典的Free air,
是胃/十二指腸或小腸或大腸破了!一個胃或腸的小破洞,電腦斷層無法判定哪兒破了,一般外科開下去發現是遠端降結腸(Distal descending colon)破了一個洞(0.5 cm),於是找直腸外科繼續完成手術。
她的早期診斷是結腸憩室炎,拖了十幾天破掉,如果一週前就去看病,診斷出來用抗生素治療,她就不必開刀先做人工肛門,然後再開一次刀把大腸接回去,住院折騰兩個多月。新冠疫情下,即使是有錢人生病也會忍著看會不會自己好起來。wleemc 發表在 痞客邦 留言(9) 人氣(612)
wleemc 發表在 痞客邦 留言(5) 人氣(1,028)

下面的病例門診時很常見,病人長期胃酸逆流,吃任何藥都沒效。
---------------------------------
請問: 我胃食道逆流1年(胃鏡輕微胃炎; 吃了一年的PPI了…吃藥半個月開始噯氣打嗝…一停藥就背部中間像氣卡住一樣痛; 偶爾忘記吃就肚子一股熱熱東西噴出來一樣……今年又照胃鏡食道有輕微發炎;有幽門桿菌已殺掉細菌; 醫生開法碼鎮; 吃了3天; 喉嚨異物感痛; 胃痛; 背痛; 胸口不適統統出現; 現在第5天喉嚨更痛了; 不知道還要不要繼續吃法碼鎮; 是要吃回PPI; 可是又不能一直吃; 腹部偶爾也痛; 超音波正常。
--------------------------------
開版至今,數十位訪客公開或私下詢問版主類似上述的病情。胃酸逆流,吃任何藥都沒效,"主要" 原因有二:
1. 大腸的宿便太多
2. 大腸細菌(可能過多)引起慢性發炎
關於大腸宿便引起胃酸逆流,下面是之前版主寫過的典型病例:
https://wleemc.pixnet.net/blog/post/119224915
類似的病例很多,下面是上週門診時的胃酸逆流病例,KUB如下:
72歲女性,乙狀結腸(黃箭頭)充滿糞便,但她會告訴你,她每天都有解便。如上圖所示,這樣的病例,病人直腸(藍箭頭)糞便清得很乾淨。
如果KUB顯示大腸糞便不多,這種胃酸逆流怎麼治療?
這種胃酸逆流的原因可能是大腸細菌引起慢性發炎,Cytokine刺激胃酸異常分泌,治療的方式:
1. 減少大腸糞便(即細菌)的負擔----服用軟便劑
2. 減少造成大腸慢性發炎的細菌---服用益生菌;其它抑制細菌滋生的食物如椰子油、洋蔥、芹菜、高麗菜、番石榴等,可隨個人喜好選擇買來吃。另外蘋果、香蕉、木瓜、柳丁等水果的果皮用果汁機打碎也可以試試。
3. 直接抑制大腸黏膜發炎的藥物---試Asacol,這藥是用於Ulcerative colitis及Crohn’s disease,但對某些胃酸逆流的病人會有效,因為它可抑制大腸黏膜慢性發炎。wleemc 發表在 痞客邦 留言(21) 人氣(1,707)